Mielofibrosis primaria

Mielofibrosis primaria

Rate this post

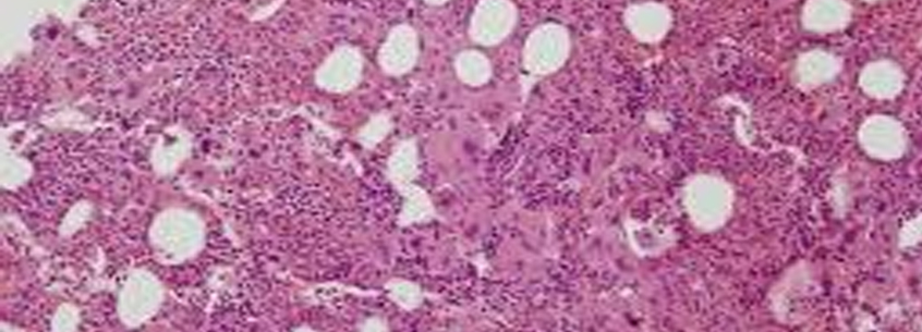
La mielofibrosis primaria es un trastorno poco frecuente de la médula ósea que se caracteriza por anomalías en la producción de células sanguíneas (hematopoyesis) y cicatrización (formación de tejido fibroso) dentro de la médula ósea. La médula ósea es el tejido blando y esponjoso que rellena el centro de la mayoría de los huesos. La médula ósea contiene células especializadas denominadas células madre hematopoyéticas que crecen y acaban convirtiéndose en uno de los tres tipos principales de células sanguíneas: glóbulos rojos, glóbulos blancos o plaquetas.

En la mielofibrosis primaria, un cambio en el ADN de una sola célula madre hematopoyética hace que la célula anormal se reproduzca continuamente. Con el tiempo, estas células anormales desplazan a las células normales y sanas de la médula y, junto con la cicatrización dentro de la médula, interrumpen la producción de glóbulos rojos y blancos y de plaquetas.

Nuestros hematólogos son expertos diagnosticando y tratando las enferemdades mieloproliferativas.